Cuento con 17 años de experiencia en Cirugía General y Cirugía Laparoscópica. Mi formación profesional se llevó a cabo en el Centro Médico Nacional ‘La Raza’. Tras completar mi especialidad, trabajé en dicho hospital por 2 años y posteriormente me dediqué a la medicina privada en Grupo Ángeles.
Medical Specialty Center
Nosotros
Medical Specialty Center
Nosotros
¿Dudas? ¡Contáctanos!
Servicios
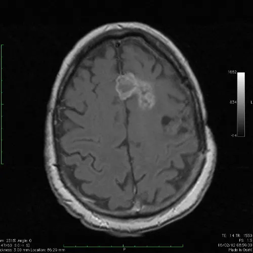
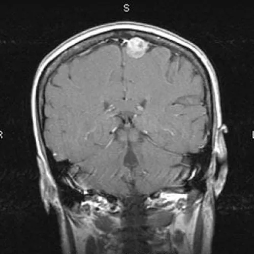
Metástasis cerebrales
Es considerada una complicación común en pacientes con cáncer avanzado y se estima que alrededor del 20-40% de los pacientes con cáncer desarrollarán metástasis cerebrales en algún momento de su enfermedad.
Gliomas cerebrales
Son un tipo de tumor que se origina en las células gliales del cerebro. Las células gliales son responsables de brindar soporte y nutrición a las neuronas y desempeñan un papel importante en el funcionamiento normal del sistema nervioso central.
Meningioma
Son tumores cerebrales que se originan en las meninges, las membranas que cubren el cerebro y la médula espinal. Estos tumores son generalmente benignos, lo que significa que no se propagan a otras partes del cuerpo, aunque en algunos casos pueden volverse malignos.
Lumbalgia
Es una afección que se caracteriza por experimentar dolor o malestar en la región lumbar de la columna vertebral. Es una de las quejas más frecuentes relacionadas con el sistema musculoesquelético y puede afectar a personas de todas las edades.
Ciática
El dolor que irradia a lo largo del nervio ciático, que es el nervio más largo del cuerpo humano. El nervio ciático se extiende desde la parte baja de la espalda, a través de las caderas, hasta las piernas y los pies.
Escoliosis
Es una condición médica en la cual la columna vertebral presenta una curvatura lateral anormal. En lugar de tener una forma recta cuando se ve desde atrás, la columna vertebral de una persona con escoliosis puede adoptar una forma de «S» o «C».
Consulta Médica
Nuestro servicio de consulta médica está diseñado para brindarte atención y cuidado de calidad, poniendo tu salud y bienestar en primer lugar.
Cirugía de cuello
Nuestro servicio de cirugía de cuello está diseñado para brindarte atención especializada y cuidado quirúrgico de alta calidad para tratar afecciones y lesiones que afectan el área del cuello.
Cirugía de aparato digestivo
Durante el procedimiento quirúrgico, te brindaremos atención individualizada, utilizando técnicas quirúrgicas de vanguardia y equipos médicos avanzados para garantizar resultados óptimos y una recuperación exitosa.
Cirugía de pared abdominal
La cirugía de pared abdominal es un procedimiento quirúrgico especializado que se realiza para tratar afecciones y problemas relacionados con la pared abdominal.
Cirugía de colon
Nuestro servicio de cirugía de colon está diseñado para brindarte atención especializada y soluciones quirúrgicas efectivas para afecciones que afectan el colon o intestino grueso.
Apendicectomía Laparoscópica
Esta técnica laparoscópica ofrece beneficios significativos en comparación con la cirugía abierta tradicional, como una recuperación más rápida, menor dolor postoperatorio, menor riesgo de infección y una cicatrización más estética.
Esguinces
Nuestro servicio de tratamiento de esguinces está diseñado para brindar atención especializada y efectiva para esta lesión común en articulaciones.
Radiculopatía lumbar
Es una afección que afecta las raíces nerviosas en la región lumbar de la columna vertebral. Estas raíces nerviosas se ramifican desde la médula espinal y salen de la columna vertebral a través de pequeños espacios llamados forámenes.
Contracturas musculares
Nuestro servicio de tratamiento de contracturas musculares está diseñado para brindar alivio y recuperación a personas que sufren de esta condición dolorosa y restrictiva.
Escoliosis
Nuestro servicio de tratamiento de la escoliosis está diseñado para brindar atención integral y personalizada a personas que padecen esta condición de la columna vertebral.
Osteoporosis
Nuestro enfoque de tratamiento se basa en un enfoque integral que incluye cambios en el estilo de vida, nutrición adecuada y opciones de ejercicio específicas para fortalecer los huesos y mejorar la salud ósea.
Dolor de espalda inespecífico
Nuestro servicio de tratamiento del dolor de espalda inespecífico se centra en brindar alivio y mejorar la calidad de vida de las personas que sufren de esta condición.
Conócenos
Dr. Amado González Moga
Médico ortopedista, subespecialidad en cirugía de columna, con más de 10 años de experiencia en atención de problemas de la columna vertebral, con adiestramiento en cirugía de mínima invasión de la columna vertebral.
Dr. Gabriel Huerta Hernández
Cirugía Neurológica Radiocirugía/cirugía de Columna
16 años de experiencia en el tratamiento de tumores cerebrales y en el tratamiento de enfermedades de la columna, en instituciones del sector público y privado de México.
Contáctanos
Dirección
Llámanos






















